İçindekiler
- Retansiyon Döneminin Önemi ve Diş Sağlığına Etkileri
- Doğru Retainer Kullanımı ve Bakım Önerileri
- Beslenme Alışkanlıklarının Retansiyon Sürecine Yansımaları
- Düzenli Kontrollerin Retansiyon Başarısındaki Rolü
- Çocukların Motivasyonunun Artırılması İçin Ebeveynlere Tavsiyeler
- Sık Sorulan Sorular

Retansiyon Döneminin Önemi ve Diş Sağlığına Etkileri
Retansiyon dönemi, dişlerin tedavi sonrası konumlarını korumaları için kritik bir süreçtir. Ortodontik tedavi tamamlandıktan sonra dişler, çevresindeki kemik ve destek dokuların yeniden şekillenmesi için zamana ihtiyaç duyar. Bu dönem boyunca hastaların dikkat etmesi gereken başlıca unsurlar şunlardır:
- Retansiyon apareylerinin düzenli ve doğru kullanımı,
- Diş hijyenine özen gösterilmesi,
- Periyodik ortodontik kontrollerin ihmal edilmemesi,
- Ağız kaslarının ve doğal diş hareketlerinin desteklenmesi.
Bu adımların uygulanmaması, dişlerin yeniden eski konumlarına dönmesine veya düzensizliğin oluşmasına yol açabilir. Bu nedenle, retansiyon döneminde bilinçli ve disiplinli davranmak, uzun vadeli diş sağlığı ve estetik için vazgeçilmezdir.
| Durum | Retansiyonun Etkisi |
|---|---|
| Uygun retansiyon kullanımı | Diş konumunun stabilizasyonu ve estetik açıdan kalıcı iyileşme |
| Retansiyon apareyinin ihmal edilmesi | Dişlerin geri hareket etmesi ve tedavi sonuçlarının bozulması |
| Düzenli kontrol yapılması | Olası sorunların erken teşhisi ve müdahale |

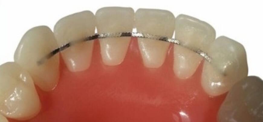
Doğru Retainer Kullanımı ve Bakım Önerileri
Retainer kullanımında dikkat edilmesi gereken en önemli noktalardan biri, cihazın ağızda sürekli ve düzenli olarak takılmasıdır. İlk aylarda doktorunuzun önerdiği saatlerde kullanmak, tedavinin kalıcılığı açısından kritik öneme sahiptir. Retainer’lar özellikle gece boyunca takıldığında, dişlerin eski konumlarına dönmesini önler ve bu sayede estetik ve fonksiyonel başarı korunur. Ayrıca, cihazlarınızı takıp çıkarırken nazik davranmalı, diş etlerine zarar vermekten kaçınmalısınız.
Bakım açısından, retainer temizliği düzenli olarak yapılmalıdır; bu sayede bakterilerin birikmesi önlenir ve ağız sağlığını korur. Sert fırçalar yerine yumuşak bir diş fırçası kullanarak, ılık sabunlu su ile temizlemek idealdir. Ayrıca, retainer’ınızı direkt güneş ışığına ya da sıcak suya maruz bırakmaktan kaçının. Aşağıdaki tabloda, retainer bakımında önerilen temel yöntemler özetlenmiştir:
| Öneri | Uygulama |
|---|---|
| Günlük Temizlik | Yumuşak fırça ve ılık sabunlu su ile nazikçe temizleyin |
| Takma Süresi | Doktorun önerdiği saatlerde ve özellikle geceleri takın |
| Isıdan Koruma | Sıcak sudan ve direkt güneş ışığından kaçının |
| Çıkarma ve Takma | Parmak uçlarınızla hafifçe çıkarıp takın, zorlamayın |

Beslenme Alışkanlıklarının Retansiyon Sürecine Yansımaları
Retansiyon sürecinde ağız ve diş sağlığının korunması, sadece tedavi sonrası ortodontik cihazların kullanımıyla sınırlı değildir. Beslenme alışkanlıkları, dişlerin pozisyonunun korunmasında kritik bir rol oynar. Özellikle sert, yapışkan veya asidik gıdaların sık tüketimi, retansiyon cihazlarına zarar verebileceği gibi diş minesi üzerinde de olumsuz etkiler oluşturabilir. Bu nedenle, beslenme düzeninde bazı önemli noktalara dikkat etmek gerekir:
- Yüksek şeker içeren abur cuburların sınırlanması,
- Asitli içeceklerin tüketiminin azaltılması,
- Yumuşak ve dengeli besinlerin tercih edilmesi,
- Sert yiyeceklerden kaçınılarak retansiyon apareylerinin zarar görmesinin önlenmesi.
Bu hassas dönem boyunca, diş etlerinin sağlığı ve dişlerin konumunu korumak için vitamin ağırlıklı dengeli beslenme büyük önem taşır. Özellikle C ve D vitaminleri, kalsiyum ve fosfor açısından zengin besinler, doku iyileşmesini destekler ve kemik sağlığını güçlendirir. Aşağıdaki tabloda, retansiyon döneminde önerilen besin gruplarının etkileri özetlenmiştir:
| Besin Grubu | Sağlık Üzerindeki Etkisi | Örnek Gıdalar |
|---|---|---|
| Kalsiyum Kaynakları | Diş ve kemik yapısını güçlendirir | Süt, yoğurt, peynir |
| C Vitamini | Diş eti sağlığını destekler, iyileşmeyi hızlandırır | Portakal, kivi, kırmızı biber |
| Protein | Doku onarımında rol oynar | Tavuk, balık, kurubaklagil |
| Antioksidanlar | Enflamasyonu azaltır | Yaban mersini, ıspanak, ceviz |
Bu öneriler doğrultusunda hareket edilmesi, ortodontik tedavinin başarısının kalıcı olmasını sağlar ve retansiyon sürecinde karşılaşılabilecek olumsuzlukları minimize eder. Unutulmamalıdır ki, ağız sağlığında beslenme alışkanlıkları düzenli kontrol ve disiplin ile birleştiğinde kalıcılık garantisi güçlenir.

Düzenli Kontrollerin Retansiyon Başarısındaki Rolü
Retansiyon döneminde düzenli ortodontik kontrollerin önemi, dişlerin konumlarının kalıcı hale gelmesi açısından büyük bir rol oynar. Bu kontroller sırasında, retainer’ın durumu ve ağız hijyeni titizlikle değerlendirilir. Aksi takdirde, retainer’ın zarar görmesi veya yanlış kullanımı, tedavi başarısının geri dönmesini tetikleyebilir. Düzenli takipler, aynı zamanda olası komplikasyonların erken teşhisini sağlayarak ekstra müdahalelerin önüne geçebilir.
Velilere önerilen bazı önemli hatırlatmalar şunlardır:
- Retainer temizliği: Günlük olarak uygun malzemelerle uygulanmalıdır.
- Randevu takibi: Belirlenen kontrol tarihleri kesinlikle atlanmamalıdır.
- Hassasiyet ve ağrı durumları: Hemen uzman ile paylaşılmalıdır.
- Ağız hijyenine özen: Diş ipi ve fırçalama düzeni aksatılmamalıdır.
| Kontrol Sıklığı | Önemli Noktalar |
|---|---|
| İlk 3 ayda aylık | Retainer uyumu ve ağız temizliği kontrolü |
| Sonraki 6 ayda 3 ayda bir | Tedavi stabilitesinin değerlendirilmesi |
| 1 yıldan sonrası | Yıllık periyodik kontroller önerilir |

Çocukların Motivasyonunun Artırılması İçin Ebeveynlere Tavsiyeler
Çocukların günlük motivasyonlarını sağlamak ve artırmak, ebeveynlerin en çok dikkat etmesi gereken konulardan biridir. Özellikle diş sağlığı gibi uzun soluklu süreçlerde, çocukların hevesini canlı tutmak için pozitif bir iletişim dili kullanmak önemlidir. Övgü ve teşviklerin yanı sıra, hedef odaklı küçük ödüller vermek çocuğun sürece olan bağlılığını güçlendirecektir. Ayrıca, çocuğun kendi sağlık sorumluluğunu anlamasını sağlamak için süreçle ilgili basit ve anlaşılır bilgiler paylaşmak da motivasyonunu artırır.
Motivasyonun devamlılığını sağlamak için aile içinde aşağıdaki yöntemler etkili olabilir:
- Diş bakım rutinini eğlenceli hale getirmek (örneğin, diş fırçalama zamanlarında birlikte şarkı söylemek).
- Retansiyon dönemi boyunca düzenli doktor kontrollerini birlikte planlamak ve bu süreci bir başarı hikayesine dönüştürmek.
- Çocuğun ilerlemesini görselleştirebileceği bir takvim veya çizelge kullanmak.
- Sağlıklı alışkanlıkların kazanılması adına ailece ortak kararlar almak.
| Motivasyon Unsuru | Uygulama Önerisi |
|---|---|
| Ödüllendirme | Başarı plaketi veya küçük hediyeler |
| Rutin Takibi | Görsel takvim ve çizelge kullanımı |
| Bilgilendirme | Yaşına uygun kısa videolar veya kitaplar |
| Pozitif İletişim | Başarıların vurgulanması ve sabır gösterilmesi |
Sık Sorulan Sorular
Antalya Ortodonti Uzmanından Velilere: Retansiyon Dönemi ve Dişlerin Korunması Hakkında Sık Sorulan Sorular
Soru 1: Retansiyon dönemi nedir ve neden önemlidir?
Cevap: Retansiyon dönemi, ortodontik tedavi sonrası dişlerin yeni konumlarda sabitlenme sürecidir. Bu dönem, dişlerin tedavi öncesi durumlarına dönmesini engellemek ve kalıcı sonuçlar elde etmek için kritik öneme sahiptir. Retansiyon süresi boyunca düzenli olarak pekiştirici apareyler kullanılması gerekir.
Soru 2: Retansiyon apareyleri nelerdir ve nasıl kullanılır?
Cevap: Retansiyon apareyleri; sabit (fırlatıcı teller) veya hareketli (şeffaf plaklar) olarak ikiye ayrılır. Uzmanınız, diş yapınıza ve tedavi planınıza göre uygun olan apareyi önerir. Genellikle apareyler ilk aylarda gün boyu, sonrasında ise gece kullanılır. Apareylerin kullanım talimatlarına uyulması, tedavinin başarısı için şarttır.
Soru 3: Retansiyon döneminde diş sağlığı nasıl korunmalı?
Cevap: Retansiyon döneminde ağız hijyenine özellikle dikkat edilmelidir. Apareyler çıkarıldığında dişlerin fırçalanması ve diş ipi kullanımı aksatılmamalıdır. Ayrıca, düzenli ortodontist kontrollerine gidilerek apareylerin durumu ve diş sağlığı takip edilmelidir.
Soru 4: Retansiyon döneminde karşılaşılan en yaygın sorunlar nelerdir?
Cevap: Apareyin kırılması, kaybolması veya kullanımının aksatılması en sık görülen sorunlardandır. Ayrıca dişlerde hafif hareketler ya da konum değişiklikleri gözlenebilir. Bu tür durumlarda mutlaka ortodontistinizle iletişime geçilmelidir.
Soru 5: Retansiyon döneminde nelere dikkat edilmeli, nelerdir kaçınılmalıdır?
Cevap: Sert ve yapışkan gıdalardan kaçınılmalıdır çünkü aparey zarar görebilir. Apareylerin temizliği aksatılmamalı, ağız hijyenine ekstra önem verilmelidir. Ayrıca, herhangi bir rahatsızlık hissedildiğinde uzmanınıza başvurulmalıdır.
Soru 6: Retansiyon dönemi ne kadar sürer?
Cevap: Retansiyon süresi kişiye göre değişmekle birlikte genellikle 6 ay ile 2 yıl arasında devam eder. Bazı durumlarda uzun vadeli veya yaşam boyu retansiyon önerilebilir. Bu nedenle, ortodontistinizin önerilerine harfiyen uymanız gerekir.
Soru 7: Veliler retansiyon döneminde çocuklarına nasıl destek olabilir?
Cevap: Veliler çocuklarının aparey kullanımını takip etmeli, ağız hijyenini denetlemeli ve düzenli kontrol randevularına gitmelerini sağlamalıdır. Ayrıca, çocukların motivasyonunu artırmak için olumlu geri bildirimlerde bulunulması önemlidir.
Bu rehber niteliğindeki soru-cevap bölümü ile Antalya ortodonti uzmanlarının retansiyon dönemi ve diş koruma konusundaki temel önerileri velilere aktarılmıştır. Sağlıklı ve kalıcı ortodontik sonuçlar için disiplinli bir retansiyon dönemi şarttır.
Sonuç olarak, retansiyon dönemi, ortodontik tedavinin en kritik aşamalarından biridir ve dişlerin sağlıklı ve doğru pozisyonda kalmasını sağlamak için titizlikle takip edilmelidir. Antalya ortodonti uzmanlarının vurguladığı gibi, velilerin bu süreçte bilinçli olması, çocukların retansiyon apareylerini düzenli kullanmalarını sağlaması büyük önem taşır. Hem dişlerin korunması hem de tedavi başarısının kalıcı olması adına, düzenli kontrollerin aksatılmaması ve ağız hijyenine özen gösterilmesi gerekmektedir. Unutulmamalıdır ki, retansiyon dönemi boyunca gösterilen hassasiyet ve dikkat, ömür boyu sağlıklı ve düzgün dişlere sahip olmanın temel anahtarıdır.

